장기에 가스 차 간 손상 등 부작용
의료진 치료에도 18시간만에 숨져
사망원인은 박테리아 감염 때문 주장도

콜라
중국의 20대 남성이 더위를 식히기 위해 콜라 1.5리터(ℓ)를 10분 만에 다 마신 후 장기에 가스가 가득 차 숨진 사례가 국제학술지에 소개됐다.
28일 뉴욕포스트와 데일리 메일 등에 따르면 중국 연구진은 최근 국제학술지 '간과 위장병학에서의 치료와 연구'에 '콜라에 의해 부풀어 오른 간'이라는 제목의 논문을 발표했다.
앞서 신원이 밝혀지지 않은 중국 베이징의 22살 남성은 1.5ℓ 콜라를 통째로 마신 뒤 6시간이 지나 배가 부풀어 오르면서 심한 통증이 나타나자 베이징 차오양병원을 찾았다.
당시 그는 의료진에게 "날씨가 더워 콜라 1.5ℓ를 급하게 마셨다"고 말했다.
기저질환이 없었던 그는 초기 진료에서 심장 박동수가 증가하고 혈압은 떨어졌으며, 숨도 가쁘게 내쉬었다.
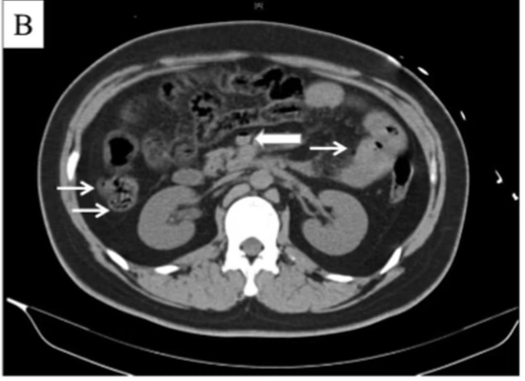
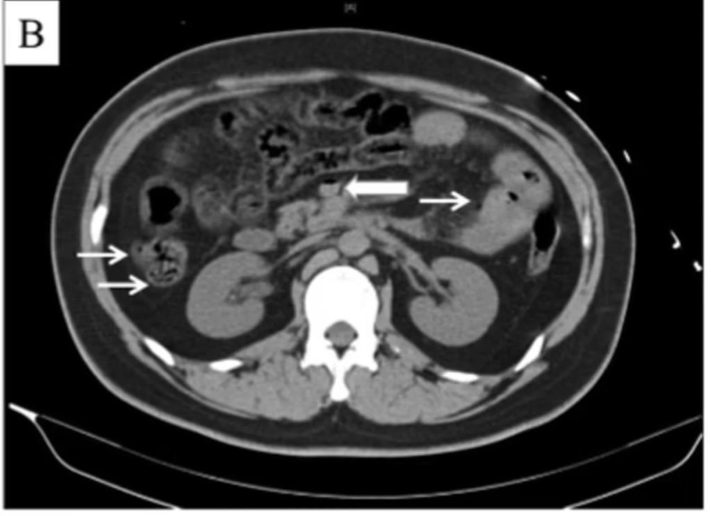
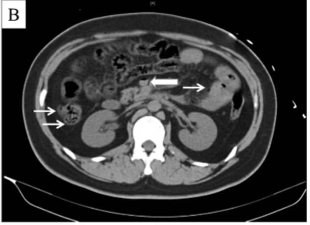
또 CT(컴퓨터단층촬영) 검사 결과 그의 장기와 간문맥(장과 간 사이의 혈관)에 평소와 달리 가스가 차 있었고, 간에서는 산소 공급 부족으로 장기가 손상되는 '허혈' 증세도 나타났다.
의료진은 이런 증상이 간문맥에 차 있는 가스와 연관된 것으로 판단하고 즉시 이를 빼내기 위한 조치에 나섰다.
환자의 간 등을 보호하기 위해 약물도 투여했다.
그러나 남성의 간은 이미 심각하게 손상됐고, 상태는 계속해서 나빠져 치료 18시간 만에 사망했다.
의료진은 이번 사고를 두고 해당 남성이 급하게 콜라를 마신 뒤 장기에 가스가 축적됐고, 압력이 증가해 가스가 간의 주요 혈관인 간문맥으로 새어 들어간 것으로 보고 있다.
이는 또 간 손상을 유발해 사망으로 이어졌다고 판단한다.

가는 화살표는 내장에 가스가 차 있음을 보여주고, 굵은 화살표는 내장에서 간으로 혈액을 운반해주는 혈관에 장간막 정맥에 가스가 차 있음을 보여준다. 국제 과학, 건강 전문 분석 회사 엘스비어(Elsevier).
그러나 영국 전문가들은 중국 남성의 사망 원인을 두고 다른 의견을 제시하고 있다.
생화학자인 영국 유니버시티 컬리지 런던 네이선 데이비스 교수는 "1.5ℓ 콜라 섭취가 치명적일 가능성은 매우 희박하다"다면서 "콜라의 탄산이 치명적이라면 이런 사고가 세계적으로 더 많이 발생할 것"이라고 말했다.
그는 숨진 남성 장기에 비정상적으로 가스가 찬 것은 콜라가 아닌 박테리아 감염에 의한 것으로 추정했다.
박테리아가 장기에 가스주머니를 만들면 이번 사고로 숨진 남성이 겪었던 증상과 유사한 문제를 유발할 수 있다는 것이다.
그는 "많은 양의 탄산음료를 마신 것이 증상을 악화시켰을 수도 있지만, 주요 원인은 아닐 수 있다"며 확실한 결론을 내리기 위해 더 많은 정보가 필요하다고 밝혔다.
'● 토픽' 카테고리의 다른 글
| '나랑 결혼해줄래' 현수막 달고 난 비행기 도심 추락 (0) | 2021.10.05 |
|---|---|
| 5천만원 복권 당첨후 익사한 미 50대, 지갑엔 미수령 복권 (0) | 2021.10.02 |
| '오징어 게임' 흥행에 지구촌 달고나 열풍" (0) | 2021.10.02 |
| 케냐 빈민가 여성들, 태권도 배워 성폭행범 물리친다 (0) | 2021.09.23 |
| ‘말 타고 채찍질’ 미 국경순찰대... “노예 단속하냐” 비난 봇물 (0) | 2021.09.23 |
| '다큐 촬영중 자백' 미 갑부, 21년만에 친구 살해로 유죄 평결 (0) | 2021.09.19 |
| "731부대원, 세균실험 자료로 2차대전 후 박사 논문 통과" (0) | 2021.09.19 |
